Confort & technologies

Confort & technologies Dentiste à Toulouse, Dentiste Mathieu Benichou

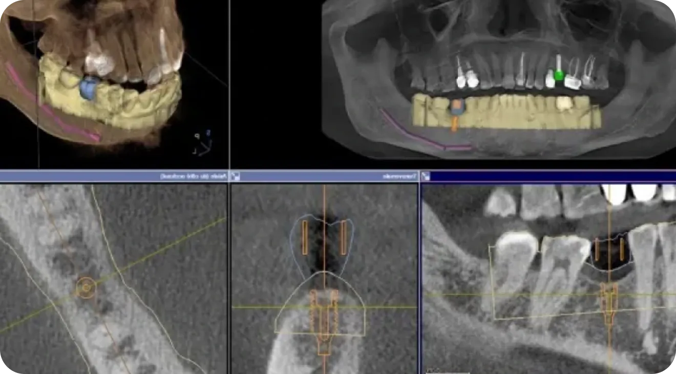
Radio panoramique 3D

La radiographie panoramique et 3D permet au praticien un expertise affinée et précise des tissus dentaires et maxillaires.

Permettant de diagnostiquer des pathologies de manière plus précise, permet une planification rigoureuse des chirurgiens reconstructrices et implantaires .

Confort & technologies Dentiste à Toulouse, Dentiste Mathieu Benichou

Reconstruction l'usinage, maquillage

Nos prothèses unitaires peuvent dans certains cas être réalisées au cabinet. Un logiciel de CFAO (Conception fabrication assistée par ordinateur) permet de modéliser la dent à remplacer ou la partie de dent altérée. A l’aide d’une machine outil qui sculpte la prothèse dans la céramique, vos prothèses sont fabriquées sur place.

Confort & technologies Dentiste à Toulouse, Dentiste Mathieu Benichou

Le PRF

A l’aide de vos plaquettes que nous récupérons à l’aide d’une simple prise de sang, afin de potentialiser votre cicatrisation lors de vos interventions chirurgicales.

Toutes nos interventions chirurgicales sont réalisés à l’aide du PRF (Platelet rich fibrin) afin de diminuer les douleurs post opératoires et d’assurer une cicatrisation optimale.

Confort & technologies Dentiste à Toulouse, Dentiste Mathieu Benichou

Stérilisation & traçabilité

La stérilisation garantie l’absence de bactéries, virus et prions. Les protocoles répondants aux normes européennes les plus strictes sont accompagnés d’une traçabilité individuelle et propre à chaque patient, qui nous permet de connaitre et de retracer le Quality Control de l’ensemble des étapes des instruments utilisés sur chaque patient.

Confort & technologies Dentiste à Toulouse, Dentiste Mathieu Benichou

Studio Photo

La stérilisation garantie l’absence de bactéries, virus et prions. Les protocoles répondants aux normes européennes les plus strictes sont accompagnés d’une traçabilité individuelle et propre à chaque patient, qui nous permet de connaitre et de retracer le Quality Control de l’ensemble des étapes des instruments utilisés sur chaque patient.

Confort & technologies Dentiste à Toulouse, Dentiste Mathieu Benichou

Microscope Opératoire

L’utilisation d’un microscope au sein du cabinet dentaire permet l’identification plus précise de la flore sous-gingivale. Cette technologie permet notamment de compléter un examen lors d’une analyse parodontale afin de pouvoir suivre l’évolution de certaines maladies de manière précise.

Confort & technologies Dentiste à Toulouse, Dentiste Mathieu Benichou

Camera 3d Itero

L’empreinte optique numérique 3D Itero est une technologie de pointe qui permet l’obtention d’image en direct d’une ou de plusieurs dents en trois dimensions et à l’aide d’une caméra intra-buccale couplée à un ordinateur.

Confort & technologies Dentiste à Toulouse, Dentiste Mathieu Benichou

Guide chirurgical

Un système permettant l’impression en 3 dimensions de guides chirurgicaux sur-mesure afin de permettre au praticien de pouvoir planifier avec précision les opérations.